03_内科 - 府川医院|福岡市南区井尻で大腸疾患などを女性医師が診察。循環器内科も。 府川医院|福岡市南区井尻で大腸疾患などを女性医師が診察。循環器内科も。

府川病院

福岡市南区井尻3-14-25 TEL 092-584-3210

 

診療内容

内科

体調に関して
不安な時は
お気軽に受診を

 当院では総合内科専門医2名による総合的な診療を行っております。経験豊富な医師が丁寧に診察いたします。
 また、必要に応じて速やかに専門の医療機関を紹介させていただきます。まずはお気軽に受診・ご相談ください。

お気軽に受診ください

  • 急な発熱やかぜ症状

  • 腹痛、下痢、下血

  • 呼吸苦や胸痛、動悸、むくみ

  • 肺炎・気管支炎・気管支喘息・肺気腫(COPD)など呼吸器疾患

  • 健康診断にて異常値を指摘された場合の2次検査・精密検査

    ※初診時にエコーや血液検査が必要となる事がありますので絶食(水のみ摂取可)での来院をお願いします。

  • 禁煙外来

    現在チャンピックス®は出荷制限中の為、ニコチネルTTS®による治療を行っております。

  • 生活習慣病の管理

    【高血圧症】
    実は血圧コントロールの目標値は人それぞれなのです。また原因も人それぞれです。その方にあった治療を行い、生活上の注意点などをお伝えしていきます。

    【糖尿病】
    糖尿病自体に症状はありませんが、しっかりと治療を行っていないと、将来合併症(3大合併症:眼・神経・腎臓)や重篤な病気を引き起こす事になります。血糖値のコントロールだけではなく、治療の必要性、生活改善指導(食事療法や運動療法の上手な取り入れ方)や合併症の評価を定期的に行いながら、糖尿病指導施設の専門医と連携を取り、より専門性の高い医療と指導をを行っていきます。

    【脂質異常症】
    健康診断でコレステロールや中性脂肪が高いと指摘されていませんか?症状がない為、治療開始が遅れる事が多くあります。コレステロールや中性脂肪が高い状態が続くと、脳卒中や虚血性心疾患などのリスクが高くなります。血管年齢や動脈硬化の評価を行いながら治療の必要性を判断致します。一度お気軽にご相談下さい。

  • 肥満・ダイエット外来

    当院では健康目的の肥満・ダイエットに対する生活指導、薬物治療を行っています。
    保険適応などに関してお気軽にお問い合わせください。

当院にて行っている検査

  • 以下のような検査が可能です
    血液検査、心電図、
    腹部エコー(超音波)検査、
    心エコー検査、呼吸機能検査、
    呼吸機能検査、胃・大腸内視鏡検査、
    視力検査、聴力検査、
    一酸化炭素濃度検査(禁煙外来)

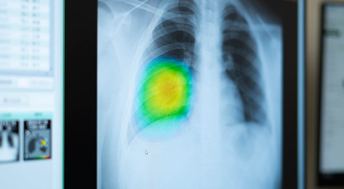
  • 各種レントゲン検査

    当院ではFUJIFILM社のCXR-AID搭載のレントゲン機器を用いてAI技術を活用した検査を行っています。

    ※CXR-AID
    胸部X線画像の自動解析を行います。病変の存在が疑われる領域を検出・マーキングし、見落し防止を支援します。

関連施設

ご相談・お問い合わせ

お気軽にお問い合わせください。

TEL 092-584-3210 電話をかける

top